Algunos de estos métodos son:
Una radiografía es una imagen creada sobre una placa de material fotográfico cuando incide sobre ella una radiación electromagnética de alta energía, como son los rayos X. El organismo se sitúa entre la fuente de rayos y la placa, los rayos X atraviesan los tejidos más ligeros, como piel, grasa y músculos; los tejidos muy densos, como huesos, piedras o tumores, no son atravesados por los rayos y aparecen en la placa, dejando así un dibujo característico en la radiografía.
Su principal ventaja del método es que permite ver el interior del cuerpo para identificar fracturas o detectar piedras o tumores, como el cáncer de pulmón o el de mama.
Este método tiene como inconveniente que la radiación, al ser de luz ionizante, puede alterar la materia y producir cáncer.
Ecografía
Una ecografía es una técnica que utiliza sonidos de frecuencia muy alta para detectar y visualizar órganos internos; el sistema transmite las ondas sonoras, que se reflejan en mayor o menor proporción, recibiéndose ese eco y formándose a partir de él una imagen en un ordenador.
Es sencilla de hacer, de gran utilidad diagnóstica, y tiene la ventaja de que no emplea radiación de alta energía, por lo que se puede utilizar cuantas veces se desee sin peligro.
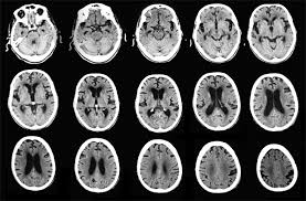
Tomografía axial computerizada o TAC
Se utiliza la técnica de los rayos X combinada con el poder de la tecnología informática para tratar muchos datos.
El TAC es una técnica que viene a ser como un conjunto de radiografías de un cuerpo realizadas a varios milímetros de distancia unas de otras, de forma que genera imágenes de segmentos del cuerpo; se obtienen imágenes como si se hubiese cortado el cuerpo en láminas.
Con estas imágenes se puede conocer con exactitud anomalías anatómicas sin necesidad de penetrar en el cuerpo; se conoce, por ejemplo, la extensión de los tumores, para así plantear los tratamientos.
Resonancia magnética nuclear
Se utiliza para detectar y diferenciar unas sustancias de otras mediante un enorme campo magnético. El paciente se somete a un poderoso campo magnético, que interacciona con los átomos de Hidrógeno presentes en todos los tejidos. Según la respuesta de los distintos tejidos, se consiguen imágenes que asemejan lonchas de 1mm de grosor. Las imágenes obtenidas mediante esta técnica son muy útiles para detectar pequeños defectos en los tejidos, que puedan indicar presencia de tumores, coágulos, hernias en discos intervertebrales, e incluso se puede ver el cerebro.
Su uso no presenta ningún problema, excepto si se realiza la exploración en presencia de objetos de hierro, que pueden ser atraídos por el imán, produciendo daños en el paciente o el equipo médico.

Tomografía de positrones o PET
Es el mejor sistema de captación de imagen que existe, detecta lo que no consiguen otros métodos; la tomografía por emisión de positrones (PET) permite obtener imágenes tridimensionales de los procesos que se están llevando a cabo de forma natural en el cuerpo.
Se introduce una sustancia, glucosa radioactiva, que emite positrones (la antipartícula de los electrones), que es absorbida por algunos tejidos con mucha actividad metabólica, y se obtiene una imagen de esos tejidos, que aparecen muy claros si son muy activos metabólicamente, y más oscuros cuanto menos activos.
Se utiliza para detectar un elevado metabolismo de la glucosa, que es un indicador de posible tumor, por su alta actividad; o coagulos, por su baja actividad; y también para conocer las primeras manifestaciones de esquizofrenia, alzheimer, epilepsia...

Cámara termográfica
En la actualidad, la termografía infrarroja es una de las técnicas más eficientes para el estudio de las temperaturas del organismo, se consigue una imagen de las distintas temperaturas. Las cámaras son una relevante herramienta de diagnóstico para detectar zonas del cuerpo con temperaturas anormales, como tumores, que producen temperaturas más intensas por su alto metabolismo.

Densitometría osea
Se trata de una técnica que mediante pequeñas dosis de rayos X, mide la densidad de los huesos. Esta prueba se usa para detectar la osteoporosis (descalcificación de los huesos), y valorar la posibilidad de sufrir fracturas o la necesidad de tratamiento preventivo.
Cuanto menor sea esta densidad, mayor es el riesgo de fractura. El 30% de las mujeres postmenopausicas sufre osteoporosis, y el 54% de ellas posee una muy baja densidad ósea, por lo tanto, tienen un alto riesgo de sufrir fracturas.

Las píldoras o cápsulas endoscópicas
Han supuesto una revolución en el mundo de la medicina, al permitir obtener imágenes del sistema digestivo cuando está en su funcionamiento natural, porque no es necesaria ninguna anestesia, como es habitual al realizar las técnicas endoscópicas habituales (que consisten en la introducción de un tubo que en su extremo lleva una luz y una cámara, y que hay que llevar hasta el punto deseado).
¿Quién sabe? Dentro de poco puede ser real eso que se ve en las películas de ciencia ficción, donde un robot se encarga de realizar todas las pruebas diagnósticas y de mantener el tratamiento bajo control.

No hay comentarios:
Publicar un comentario